Цитомегаловирусна инфекция
Цитомегаловирусът е открит през 1956 г. от двама учени на име Smith и Rowe, но едва през 70-те години Kllemola описва синдром, подобен на инфекциозна мононуклеоза при пациенти, на които е преливана кръв или са трансплантирани, като у тях забелязва наличието на вируса.
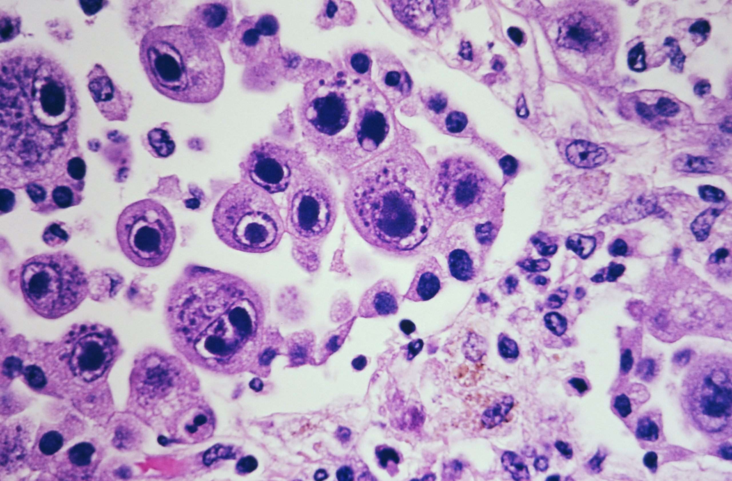
Името му произлиза от гръцките думи „цито“ – клетка и „мегалос“ – голям, а характерната картина, която се наблюдава под микроскоп – наличие на голямо ядро и заобикаляща го цитоплазма (течното съдържимо на клетката, в което се намират клетъчните органели), наподобява „око на кукумявка“.
Клинично значимо заболяване, предизвикано от цитомегаловирус (реактивиране на налична „дремеща“ или новопридобита инфекция) често се развива при хора с потисната имунна система от HIV-инфекция, трансплантация на органи или костен мозък, както и при тези, получаващи високи дози кортикостероиди или други имуносупресиращи лекарства за лечение на системен лупус еритематодес, ревматоиден артрит, болест на Крон, псориазис и т.н.
Не рядко при тази група пациенти, цитомегаловирусът може да бъде решаващ фактор за по-нататъшното развитие на основното заболяване.
Цитомегаловирус – човешки херпес вирус 5
CMV или HHV-5 (Human Herpes Virus 5) е част от групата на херпесните вируси, но се отличава с голямата си неустойчивост във външни условия като стайна температура, слънчеви лъчи и дезинфектанти.
Единствен източник на заболяване е човекът – болен или здрав носител, който отделя вируса със секретите на половите органи, слюнката, урината, кръвта, сълзите и кърмата, като заразяването може да стане при тесен интимен контакт, преливане на кръв, трансплантиране на органи, както и по време на бременност или раждане от майката на плода чрез плацентата.
Лицата с повишен риск от инфекция с цитомегаловирус са хора, които посещават или работят в детски градини, ясли, училища и други затворени колективи, пациенти, които се подлагат на кръвопреливане, трансплантации или тези с множество сексуални партньори.
Безсимптомното протичане на инфекцията е много често. Статистиката сочи, че носители на CMV са средно около 85% от възрастните хора. Те притежават антитела от клас IgG, което значи, че вече са преболедували инфекцията (със или без наличие на симптоми) и имат изграден имунитет срещу нея. Освен това глобалните данни показват, че до 2% от новородените в световен мащаб се раждат вече инфектирани.
Вродената инфекция с цитомегаловирус е най-важната инфекциозна причина за вродена глухота, малформации, микроцефалия, забавено умствено развитие и ограничени способности за учене и запаметяване у децата, като не по-малко значително е рефлектирането й върху имунитета, изразяващо се с често боледуване.
При попадане на вируса в устната кухина, той се размножава в лигавицата и преминава в лимфните възли, а след това попада в кръвта, откъдето се разпространява в различни органи и системи и се локализира предимно в клетки на слюнчените жлези, тестисите, шийката на матката, надбъбрека, хипофизата, червата, миокарда, слезката и съдовия ендотел. Възможно е размножаване на вируса и в костния мозък.
Цитомегаловирусът се намира в латентно („дремещо“) състояние в организма и това обуславя инфекцията като постоянна („веднъж заразен – винаги заразен“). Изявата на заболяването зависи много от възрастта и имунното състояние на организма. Обикновено периодът на появата на симптоми след трансплантация и кръвопреливане е 3 до 8 седмици, а при инфекция придобита по време на раждане – 3 до 12 седмици.
Вродена цитомегаловирусна инфекция:
Честотата варира от 1 на 50 до 1 на 500 новородени, като заразената майка може да не прояви симптоми по време на боледуването или те да бъдат леко изразени, наподобяващи банална вирусна инфекция.
Заболяването настъпва при заразяване на плода през първият триместър от бременността като най-честите прояви са: преждевременно раждане, малформации на новороденото (увеличен черен дроб, жълтеница, микроцефалия, церебрална парализа, епилепсия, глухота, дефекти в зрението и говора, хидроцефалия, забавено развитие и други).
Според някои данни вродената CMV инфекция е по-честата инфекциозна причина за малформации у плода, в сравнение с рубеола или токсоплазмоза.
Цитомегаловирусна инфекция на новороденото
Протичането обикновено е много тежко, с екстремно висока температура, пожълтяване на кожата, увеличени далак и черен дроб, наличие на кръвоизливи, неврологични признаци – гърчове, кома, парализи. Развитието на заболяването е бързо и с висока честота на смъртни случаи.
Цитомегаловирус у по-големи деца с нормален имунитет наподобява заболяването инфекциозна мононуклеоза („болестта на целувката“) с температура, ангина, увеличени лимфни възли, понякога с увеличение на черен дроб и далак, но може и да има и клиника на фарингит (зачервено и болезнено гърло), бронхит, в някои случаи дори и пневмония.
У възрастни с нормален имунитет заболяването също може да протече подобно на мононуклеоза, като остър хепатит, с различни неврологични изяви като синдром на Гилен-Баре, пареза на лицевия нерв, менингоенцефалит, също така и като миокардит, хемолитична анемия, тромбопения и синдром на хроничната умора.
Цитомегаловирус инфекция при HIV/СПИН болните е честа и може да се прояви като: ретинит (заболяване на ретината на окото), езофагит, гастрит, ентеропатия с хронична диария, хепатит, пневмония, енцефалит или енцефалопатия.
CMV инфекция при трансплантирани болни (имуносупресирани)
Източникът на инфекция може да бъде „външен“ (от донорски тъкани, клетки или кръв) или от самия организъм (чрез реактивиране на „дремеща“ инфекция). Първичната инфекция у тази група пациенти е изключително тежка и може да се прояви с гломерулонефрит и отхвърляне на трансплантирания бъбрек или CMV пневмония с бързо настъпващ белодробен оток.
Смъртността е около 20% при рецепиенти на костен мозък и до 1-2% при такива, получили бъбречен трансплант. Други прояви на заболяването могат да бъдат остър хепатит, диария, панкреати и други.
За CMV трябва да се мисли при болни с предшестващ имунен дефицит (СПИН), наличие на температура от неясен произход, хронична умора, планиране на бременност и често боледуване!
При бременни, включително и в нашата страна се прилага т.нар. диагностичен TORCH профил, който представлява скрининг за изследване на CMV и други инфекции, които могат да бъдат предадени от майката на плода.
Диагностика при цитомегаловирусна инфекция
Диагнозата се поставя от вирусологичните изследвания: серологични – ELISA и молекулярни – RT-PCR. ELISA е метод, който дава информация за наличие на антитела срещу вируса. RT-PCR (показва наличието на вирусни частици в слюнка или кръв) – бива качествен (резултатите се обозначават с „+“ и „-„) и количествен (показва брой вирусни частици).
Лечение при цитомегаловирусна инфекция
По отношение на лечението, пациентите с положителен резултат за активна инфекция с Цитомегаловирус, но без наличие на симптоми, не налага да бъдат лекувани.
У пациенти, попадащи в рисковите групи за развитие на тежка, животозастрашаваща инфекция, могат да се прилагат противовирусни препарати, които обаче на са достъпни в аптечната мрежа в нашата страна. Такива са ганцикловир, фоскавир, цидофовир и марибавир.
От тях ганцикловир самостоятелно или в комбинация с имуноглобулин, макар и с доста странични реакции, може да се използва като медикамент на избор с добър ефект при пациенти със СПИН и CMV и също така при необходимост от профилактика CMV заболяване при реципиенти на трансплантация. Други видове медикаменти, които могат да бъдат използвани са имуномодулатори, общоукрепващи, витамини и симптоматични средства.
Към днешна дата все още не съществува ваксина срещу заболяването, поради способността на вируса да избягва имунната система, но въпреки това няколко кандидат-ваксини са в процес на разработка.
Автор: д-р Вероника Гаджовска



