Какво представлява състоянието субдурален хематом?
След като в предишен наш материал ви запознахме обстойно с тежката диагноза, клиничните прояви и лечение на Епидурален хематом – как да го разпознаем без медицински познания? тук ще говорим за друга тежка мозъчна патология. Именно – субдурален хематом. Определяме го като колекция от кръв, разположена в субдуралното пространство – между твърдата мозъчна обвивка и паяжиновидната (архноидея).
Острите хематоми са последица от инерционното натоварване от травма с последващо увреждане на съдовете. Хематомите в този случай се простират на по-голяма площ заради анатомично обособеното субдурално пространство. За разлика от епидуралния хематом, при който обикновено кървящият съд е артериален, при субдурален хематом най-чест източник на кръвоизлива се явяват разкъсванията на мостовите вени, преминаващи от хемисферите през субарахноидалното пространство и към венозните синуси.
Клиничната картина на травматичен субдурален кръвоизлив преминава през няколко фази на протичане (също като при епидуралния), които се характеризират по следните особености:
- По-дълъг светъл период.
- Развитието на огнищна симптоматика и повторното изпадане в кома става по-бавно и постепенно, отколкото при епидуралния хематом.
Клиниката търпи своеобразна еволюция, състояща се в стъпките:
- Травматична кома, най-често поради мозъчно сътресение.
- Светъл период от много дни или седмици, възможно е да се стигне и до 5-6 месеца и повече и огнищна неврологична симптоматика.
- След това постепенно се наблюдават развиващи се количествени нарушения в съзнанието.
- При наличие на остър субдурален хематом светлият период продължава от 3 до 7 дни.
- Ако първите симптоми са след 2-3 седмици, субдуралният хематом се класифицира като подостър.
- Въпросният светъл период завършва с постепенно засилващо се главоболие, появата на гадене с повръщане, паретични изяви от противоположната на увредата страна, които по-късно се усложняват до квадриплегия или парализа на всички долни и горни крайници. Наблюдава се и разширена зеница в засегнатата страна.
- За около 5-10 или 15 часа степенните нарушения в съзнанието прогресират до кома.
- При клиника на хроничен субдурален хематом светлият период е повече от три седмици след прекараната травма на главата, но понякога може да бъде и по-дълъг. Това е особено коварно, тъй като ако прекараната черепна травма е била по-леко по интензитет, пострадалият може да забрави да я спомене при снемането на анамнезата, а това да заблуди или обърка клинициста.
- Постепенно се развиват нарастващо по интензивност главоболие, както и други хипертензионни симптоми като гадене и повръщане.
- Налице са едностранна или двустранна симптоматика от страна на пирамидната система, която отговаря за двигателните команди.
- Застойни папили – особено важен клиничен белег, който говори за повишено вътречерепно налягане и дава ценна информация на лекуващия лекар.
- Постепенно се развиват количествени нарушения в съзнанието и най-накрая се стига до кома и смърт.
Субдурален хематом – диагностика
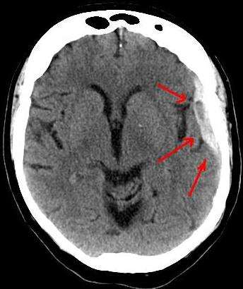
Диагнозата субдурален хематом се поставя основно чрез компютърната томография. На нея този тип хематоми имат характерна полулунна форма, представена като характерно изпъкваща зона, изпъкваща към черепната кухина. Диагнозата на субдурален хематом трябва да бъде подкрепена и допълнена също и по данни от анамнезата или на пострадалия (ако е в състояние), или на негови близки за травма на главата, по-дългия светъл период, разширената зеница, огнищната пирамидна или друга характерна симптоматика, както и постепенното изпадане в кома.
Подострият хематом обикновено е с нормални като на здравата мозъчна тъкан сенки на компютърния томограф, а хроничният субдурален хематом се представя на невроизображението като хиподензна (с други думи бледа) зона.
При мозъчна ангиография на мястото на хематома се открива зона, в която липсват кръвоносни съдове.
Лечението на травматичен субдурален кръвоизлив е хирургично. Извършва се най-често трепанация под формата на дупчици в темпоралната област с аспириране на кръвните колекции и промиване ложето на хематома с физиологичен серум. Хроничният субдурален хематом се отстранява заедно с капсулата му.
Още по темата за субдурален хематом.

Автор: Александър Манчев
Ние от Online Medicine сме тук, за да ви помогнем. Ако имате нужда от консултация с лекар , моля, свържете се с нас чрез секцията за консултация.





