Пневмоторакс – защо не мога да дишам?!
Дишаме, издишаме, дишаме си спокойно – функцията на нашия организъм, която всички ние приемаме за даденост. Докато не дойде момент, в който не можем. А тези, които развият пневмоторакс, този момент може да дойде внезапно и без особено предупреждение.
Пневмоторакс е състояние, при което въздух навлиза в плевралната кухина, пространството между белите дробове и гръдната стена. Този въздух може да окаже натиск върху белия дроб и да доведе до колапс, което затруднява дишането. Състоянието може да възникне спонтанно или в резултат на травма и има два основни вида: първичен и вторичен.
Какви са различните видове пневмоторакс?
Първичната форма възниква при хора, които нямат съпътстващо белодробно заболяване или друго медицинско състояние. Най-често се среща при високи, слаби мъже на възраст между 20 и 40 години, въпреки че може да се появи при всеки индивид без особено значение. Вторичният пневмоторакс, от друга страна, се причинява от основно белодробно заболяване или медицинско състояние, като хронична обструктивна белодробна болест – ХОББ, астма или кистозна фиброза.
Спонтанният пневмоторакс се разделя допълнително на два вида: първичен спонтанен и вторичен спонтанен пневмоторакс. Първичният е по-често срещан и възниква, когато малък въздушен джоб (мехур) на повърхността на белия дроб се разкъса. Вторичният е по-рядко срещан и се появява, когато има основно белодробно заболяване или медицинско състояние, което причинява колапс на белия дроб.
Травматичният пневмоторакс, както подсказва името, възниква в резултат на травма на гръдния кош, като автомобилна катастрофа, падане или прободна рана. Тежестта на състоянието зависи от степента на травмата.
И така, кой е изложен на риск от пневмоторакс?
От спонтанен пневмоторакс, както споменахме по-рано, най-често се засягат високи, слаби мъже на възраст между 20 и 40 години. Пушенето е основен рисков фактор за първичен спонтанен пневмоторакс, тъй като може да отслаби белодробната тъкан и да я направи по-податлива на разкъсване. При вторичен спонтанен пневмоторакс рисковите фактори са същите като тези за основното белодробно заболяване или медицинско състояние, което да стане причина за неговото развитие.. Що се отнася до травматичния пневмоторакс, всеки, който претърпи, дори минимална, травма на гръдния кош, е изложен на риск.
Какви са основните симптоми при развитие на пневмоторакс и как се поставя диагнозата?
Симптомите на пневмоторакс могат да варират в зависимост от тежестта на състоянието. В леки случаи може да няма никакви симптоми. В по-тежки случаи, обаче, симптомите могат да включват внезапна поява на гръдна болка, задух, учестен пулс и кашлица. В екстремни случаи, засегнатото лице може да получи пълен колапс на белия дроб, което може да бъде животозастрашаващо.
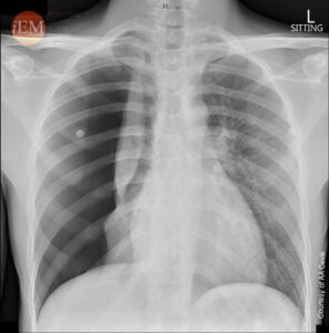
Диагнозата на пневмоторакс обикновено включва комбинация от физически преглед, медицинска анамнеза и образни изследвания, като рентгенография на гръдния кош, компютърна томография или ултразвук.
Лечението на пневмоторакс също зависи от тежестта на състоянието. При леки случаи тялото може да успее да абсорбира въздушния мехур самостоятелно с течение на времето. При по-тежки случаи, обаче, лечението може да включва поставяне на гръден дрен, за да се отстрани въздушният мехур и да се позволи на белия дроб да се разшири отново. В редки случаи може да се наложи операция.
Малко повече за техниката за поставяне на гръдния дренаж за лечение
Поставянето на гръден дрен, процедура известна още като торакостомия или тръбна торакостомия, е обичайна процедура, използвана за лечение на пневмоторакс. Процедурата включва вмъкване на тънка тръбичка, известна като гръден дрен или плеврален дренаж, в гръдната кухина, за да се дренира въздух или течност и да се позволи на белия дроб да се разшири отново, а пациентът да възстанови своето дишане нормално.
Стъпки, които се следват при поставянето на гръден дрен

- Подготовка: Пациентът се поставя на засегнатата страна или по гръб, като засегнатата страна е повдигната. Кожата се почиства и стерилизира, а зоната се обезболява.
- Разрез: Прави се малък разрез между ребрата в средната аксиларна линия или в средната ключична линия, в зависимост от местоположението на пневмоторакса.
- Поставяне на гръден дрен: След това гръдният дрен се въвежда през разреза и се придвижва в плевралната кухина. Тръбата обикновено се вкарва върху направляващ проводник, за да се улесни процедурата максимално.
- Дренаж и аспирация: След като гръдният дрен е поставен, той се свързва към дренажна система, която позволява отстраняването на въздух или течност от плевралната кухина. Към дренажната система може да се приложи засмукване или аспирация, за да се улесни и ускори във времето отстраняването на въздушния мехур или течност.
- Фиксиране и превръзка: Гръдната тръба се закрепва на място с шевове или специална лепенка и върху мястото на разреза се поставя стерилна превръзка.
- Проследяване: Пациентът се наблюдава внимателно за всякакви признаци на усложнения, като инфекция или кървене, и гръдният дрен обикновено се оставя на място, докато състоянието пневмоторакс отзвучи и белият дроб се “раздуе” отново.
Важно е да се отбележи, че поставянето на гръден дрен е високо специализирана процедура, която трябва да се извършва от обучени медицински специалисти, като спешни лекари или гръдни хирурзи, а в някои по-редки случаи – вътрешни лекари. Ако процедурата не се извърши правилно, могат да възникнат усложнения като кървене, инфекция или увреждане на околните тъкани и органи.
Профилактика и превенция на развитие на пневмоторакс
Предотвратяването и профилактиката за развитието на състоянието включва избягване на рискови фактори като тютюнопушене и предпазване от възможността за развитие на гръдна травма по всякакъв възможен начин. Редовните прегледи при лекар също могат да помогнат за ранното откриване на всички основни белодробни заболявания, което може да помогне за предотвратяване развитието на вторичен пневмоторакс в бъдещето.
Клиничен случай на пациент с пневмоторакс
Сега бих искал да представя на вашето внимание клиничен случай на пациент, за да представя нагледно процедурите по диагностика, лечение и проследяване.
Запознайте се с Иван, 32-годишен пушач, който постъпва в спешно отделение с внезапна поява на гръдна болка и недостиг на въздух. Иван не за пръв път изпитва тези симптоми и неколкократно е бил диагностициран и лекуван от първичен спонтанен пневмоторакс.
Иван незабавно е прегледан от екипа в спешното отделение и е назначена рентгенова снимка на гръдния кош, която разкрива колапс на белия дроб, тоест пневмоторакс. Той е диагностициран с рецидивиращ първичен спонтанен пневмоторакс и е приет в болницата за лечение и наблюдение.
Впоследствие е поставен гръден дрен, за да се отстрани въздушният мехур от плевралната кухина и да се позволи на белия дроб да се разгъне отново. Иван, също така, е посъветван да спре вредния си навик – тютюнопушене, за да предотврати бъдещи епизоди на рецидиви.
След няколко дни в болницата, белият дроб на Иван е напълно “разгънат” и той е изписан вкъщи за домашно лечение. На Иван са дадени точни и ясни инструкции да се консултира с личния си лекар и да избягва тютюнопушене всячески, за да предотврати бъдещи епизоди на рецидивиращ пневмоторакс.
В последствие, след проследяване след някоя друга година, при случайно постъпване в спешното отделение по друг повод и проверка от лекуващия спешен лекар, Иван е разпитан за вредните му навици и дали е имал последващи епизоди на рецидивиращ пневмоторакс.
Иван разкрива, че е бил на почивка, където е бягал по плажа и е развил рецидивиращ първичен спонтанен пневмоторакс, като това е бил последният път, в който чува диагнозата пряко за себе си, защото Иван взима правилното решение, спира да пуши и започва да се грижи пълноценно за здравето си, спазвайки базови режими на хранене, спорт и липса на алкохол и цигари. Не защото има доказателства, показващи пряката зависимост от развитие на пневмоторакс при консумация на алкохол, а защото Иван редовно се е “излъгвал” да запали цигара при събирания с приятели, включващи определени количества алкохол.
Описаното състояние може да причини внезапни и сериозни затруднения в дишането, като развитието може да бъде както много динамично, така и безкрайно стресиращо – както за пациента, така и за неговите близки и роднини. Може да възникне спонтанно или в резултат на травма и може да бъде животозастрашаващо при по-екстремни случаи.
Въпреки това, с навременна диагноза и лечение, повечето случаи могат да бъдат успешно контролирани. Предотвратяването на пневмоторакс включва избягване на рискови фактори, като тютюнопушене, и предпазване от развитие на гръдна травма по всякакъв възможен начин, особено при хора в рисковата група.
Редовните прегледи при лекар също могат да помогнат за ранното откриване на всички налични скрити белодробни заболявания, което може да помогне за предотвратяване развитието на вторичен пневмоторакс.
Ако вие или някой ваш близък, роднина или познат почувства симптомите – внезапна и силна гръдна болка, затруднено дишане, главозамайване, ниско ниво на сатурация, незабавно потърсете медицинска помощ в най-близкото спешно отделение или позвънете на телефон 112.
Автор: д-р Цанко Стефанов



