Пародонтит – основна информация
Продължавайки по темата с оралното здраве, в тази статия ще поговорим за едно заболяване на венците, което лесно може да се предотврати, защото иначе е с особено лоша прогноза по отношение на здравето на устната кухина. Това е именно толкова широко обсъжданият по рекламите за пасти за зъби пародонтит.
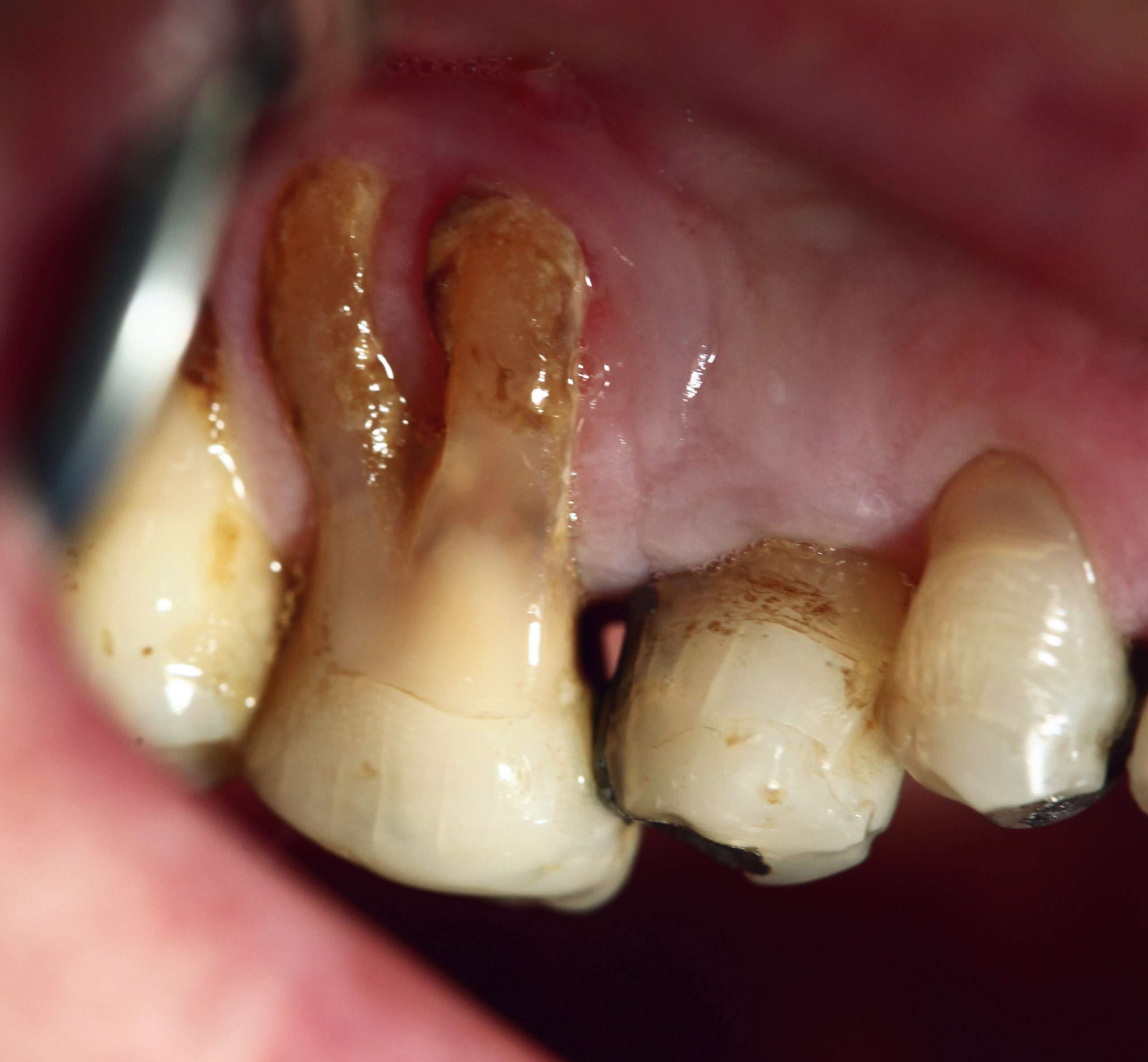
Знаем, че здравите венци са твърди и прилягат плътно около зъбите. Цветът им обаче може да варира и това не винаги е патологично явление. Те могат да са оцветени от светло розово при някои хора до тъмно розово и даже кафяво при други. Точно заради това, за да сме наясно с какво състояние си имаме работа, трябва да познаваме симптомите на пародонтит – те пък са доста шарени и могат да включват:
- Подути венци.
- Яркочервени, тъмночервени или тъмно лилави венци.
- Болезнени на допир венци.
- Лесно кървящи венци, розова на цвят четка за зъби след измиване или наличие на изплюта кръв при миене на зъбите или почистване с конец.
- Лош дъх, с който изглежда няма справяне.
- Гной между зъбите и венците.
- Разклатени зъби или падащи такива.
- Болка при дъвчене.
- Образуване на нови пространства между зъбите, приличащи на черни триъгълници.
- Отдръпващи се от зъбите венци, което прави зъбите да изглеждат по-дълги от нормалното.
- Промяна в начина, по който зъбите се напасват един към друг при захапване.
В основата на патофизиологията на пародонтит стои познатата ни от статията за кариесите плака. Припомняме, че тя е лепкав филм, изграден главно от бактерии. Ако не се отстранява редовно от дентален лекар или не се лекува причината за нейната поява, с времето тя неизменно ще доведе до пародонтит.
По зъбите се образува плака, когато нишестето и захарите в храната взаимодействат с бактериите, които нормално си живеят в устата на човека. Четкането на зъбите сутрин и вечер, както и почистването им с конец веднъж на ден премахва плаката, но за съжаление тя бързо се появява отново. Тя даже може да се втвърди под линията на венците и да се превърне в зъбен камък. Той вече е значително по-труден за отстраняване.
Не може да се отървем от него с обикновено миене на зъбите с четка и конец – за премахването му е необходима професионална намеса от зъболекар. И тъй като плаката и зъбният камък са пълни с бактерии, колкото по-дълго останат върху зъбите ни, толкова повече щети могат да им причинят.
Плаката може да причини гингивит, който е най-леката форма на заболяване на венците. Гингивитът предизвиква раздразване и подуване на венечната тъкан в основата на зъбите. Името му идва от „gingiva“ – латинската дума за „венци“, и „it/itis“, което като окончание на термините в медицината значи „възпаление“. При ранно и отговорно поведение и добра грижа за устата, гингивитът може да бъде предотвратен и излекуван у дома, още преди да се наблюдава загуба на костна маса.
В случаите, когато възпалението е продължително във времето, нелекувано и превърнало се в хронично, се стига до появата на пародонтит. А при него има образуване на дълбоки джобове между венците и зъбите, които джобове се пълнят с плака, зъбен камък и бактерии и с течение на времето стават все по-дълбоки. Ако не се лекуват, този тип инфекции причиняват загуба на венечна и костна тъкан. В крайна сметка човек започва да губи и цели зъби. И сякаш това не стига, ами подобно дългогодишно възпаление може да натовари имунната система и да причини редица други здравословни проблеми.
Фактори за развитие на пародонтит
Към споменатите вече фактори като гингивит и лоша устна хигиена, можем да добавим други подобни, които също увеличават риска от пародонтит. Говорим за:
- Тютюнопушене и употреба на различни наркотици (леки или тежки).
- Хормонални промени, например при бременност или менопауза.
- Лошо хранене, а това включва и недоимък на витамин С.
- Генетична предразположеност.
- Някои медикаменти, които като страничен ефект причиняват сухота в устата или промени в състоянието на венците.
- Заболявания, които намаляват имунитета – като левкемия, ХИВ/СПИН и при лечение на рак.
- Някои заболявания, като диабет, ревматоиден артрит и болест на Крон.
Усложненията при пародонтит са сериозни. Той, освен че може да причини загуба на цели зъби, предразполага причиняващите го бактерии към навлизане в кръвта през тъканта на венците и засягане на други части на тялото. Това доста често пренебрегвано състояние е свързано също и с респираторни заболявания, коронарна артериална болест, преждевременно раждане и проблеми с контролирането на кръвната захар при диабет.
Лечение на пародонтит – хирургично и нехирургично
Лечението на пародонтит може да се извърши от зъболекар или пародонтолог. Последният е зъболекар, който е специалист по заболявания на венците. Целта на лечението е старателно почистване на джобовете около зъбите и предотвратяване на увреждането на околната тъкан и кости.
То може да бъде с нехирургична насоченост (при по-леките случаи) и с хирургична – при по-напредналите. Към нехирургичните са вече споменатото почистване на зъбния камък, обикновено с лазер или ултразвук, или изглаждане на кореновите повърхности, което освен че спомага за предотвратяване на бъдещо натрупване на плака и зъбен камък, също така подпомага прикрепването на венците обратно към зъбите. Може да се включат и определени антибиотици – локални най-често, които да държат под контрол бактериалната инфекция. За съжаление при по-тежките случаи ще се наложи и по-инвазивна намеса.
Пародонтолозите, според индивидуалния пациент, могат да приложат хирургия при развитие на пародонтит с цел намаляване на джоба като направят разрези във венците, за да прегънат внимателно тъканта. Или пък да използват съседни тъкани (от небцето например), за да я присадят към засегнатото място. Това ще помогне за намаляване на по-нататъшната загуба на венеца, ще покрие откритите корени и като цяло ще придаде на зъбите по-добър вид.
Не е изключено да се наложи и присаждане на цяла кост, ако тя е разрушена в зоната на инфекцията. Напоследък актуални са тъканно стимулиращите протеини. При този подход денталният хирург нанася специален гел върху болния зъбен корен. Гелът съдържа същите протеини, които се намират в развитието на зъбния емайл, и така успява да стимулира растежа на здрави кости и тъкани.
Автор: Александър Манчев




