Кариес – най-важното на едно място
Нека не забравяме, че оралното здраве също е предмет на медицината – в случая на денталната. По този повод решихме да създадем статия, в която да дадем по-достъпна информация за здравето на устната кухина и по конкретно да споменем неприятното заболяване на зъбите – кариес.
Оралното здраве дава отражение на редица системи в организма и неглижирането му също е предпоставка и опасност за развитие на най-различни заболявания, сред които абсцеси в устата, гингивит, пародонтит, заболявания на стомаха, на нервната система и др.
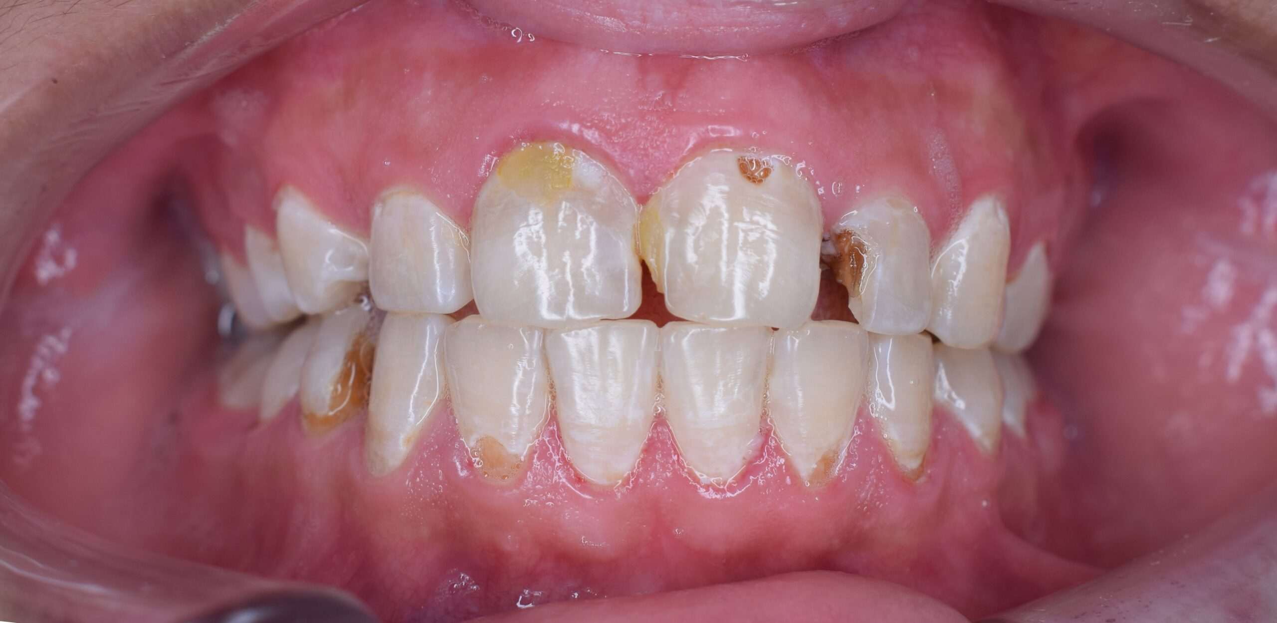
Започвайки с нещо типично и често срещано, тук ще се фокусираме върху кариеса. Често го виждаме като дупка с тъмно оцветяване, която се образува в някой от зъбите ни. Кариесите започват с малки размери и постепенно се увеличават, ако не се лекуват. Тъй като по-голямата част от тези патологични кухинки не причиняват болка в началото, човек може доста трудно да осъзнае, че проблемът е налице. Затова като всеки път ще препоръчаме редовни прегледи при зъболекар, който може да открие кариеса рано и да го излекува преди да се е стигнало до усложнения. А никой не иска такъв тип усложнения.

Смята се, че кариесът е един от най-честите здравословни проблеми в света. Всеки, който има зъби в устата си, може да развие кариес, включително и бебета. И да, дори ако смятате, че имате добра рутинна орална хигиена, пак можете да бъдете неприятно изненадани от диагнозата. Колкото и страшно да ни звучи посещението при денталния лекар, медицината все пак е достатъчно напреднала, за да предложи лесни и напоследък все по-безболезнени начини да се излекува кариесът в ранно време.
Симптомите на кариеса зависят от тежестта на самото зъбно разпадане. Ако изобщо ги има, те обикновено са:
- Чувствителност на зъбите – особено при прием на горещи или студени храни и напитки.
- Зъбобол – познат като една от най-жестоките болки в човешката патология.
- Видима дупка или кухинка в зъба.
- Черни или бели петна по зъбите.
Защо се стига до развитието на кариес?
Кариесите се причиняват от плака – плаката можем да видим като лепкава субстанция, полепнала по зъбите ни. Тя е комбинация от бактерии, слюнка, киселина, както и остатъци от хранителни частици. Навярно сте чували, че всеки има бактерии в устата си – при хората даже те са доказано повече като брой и популация, отколкото при някои животни.
След консумация на захарни изделия, бактериите в устата превръщат захарта в киселина. Така плаката започва да се образува върху зъбите ни доста скоро след като сме яли или пили нещо сладко. Именно този налеп по зъбите и киселината в него са факторите, които допринасят за бавното, но сигурно разрушаване на зъбния емайл.
Емайлът сам по себе си има за цел да ни предпази от кариеса. Той е твърдото, защитно покритие върху видимата част на зъбите ни. И понеже плаката отслабва емайла, съответно и рискът от кариес се увеличава.
Подчертахме, че всеки човек е изложен на риск от кариес, но някои хора сякаш са по-предразположени към развалени зъби, въпреки идеалната си устна хигиена. Има някои рискови фактори, които можем да посочим като важни в случая:
- Употребата на твърде много сладки или кисели храни или напитки – затова зъболекарите ни често ни хокат, когато им признаем, че прекаляваме с шоколада и вафлите.
- Лоша орална хигиена – пропуснатото изчеткване преди сън или почистването с конец всеки ден рано или късно ще си кажат тежката дума върху зъбното здраве.
- Недостиг на флуорид
- Суха уста
- Хранителни разстройства, като анорексия и булимия – честото повръщане допринася за окисляване на устата от твърде многото стомашна киселина.
- ГЕРБ или гастро-езофагеален рефлукс – той може да доведе до износване на зъбния емайл, отново от стомашната киселина.
Наблюдава се тенденцията кариесите да се развиват по-често в отдалечените редици задни зъби. Това е така, защото у тях има жлебове и отвори, които улавят частици храна, загниващи там. Освен това тези зъби понякога са по-трудни за достигане при четкане и почистване с конец.
Като казваме, че никой не иска да се стига до усложнения от зъбните кариеси, не се шегуваме. Кухина от този тип може да причини различни проблеми, ако не се лекува. Това са например: абсцес, който може да се инфектира и да предизвика животозастрашаващи усложнения (сепсис), образуване на гной около заразения зъб, отчупване на зъб или затруднено дъвчене на храна, което да причини стомашен дискомфорт.
При закъснял случай увреждането на зъба може да бъде толкова сериозно, че самият зъб да не може да бъде излекуван, ако посещението при зъболекар е отлагано твърде дълго време. Тогава единственият начин да се коригира кариесното прорастване остава пълното отстраняване на зъба и замяната му с имплант или мост, което, освен че е по-трудоемко като работа в устата, е и доста по-скъпоструващо.
Като препоръка за предпазване от кариеси можем да предложим и консумацията на някои храни, които определено помагат в борбата с кариеса. Това обаче не изключва в никакъв случай четкането с подходяща флуоридна паста за зъби, почистването с конец, вода за уста, избягване на сладко и т.н. Но ето лист с храни, които донякъде ще ви предпазят от развитието на кариесна болест:
- Богати на фибри плодове и зеленчуци.
- Богати на калций храни.
- Ксилитолова дъвка без захар.
- Черен или зелен чай, но в никакъв случай подсладени.
- Вода с флуор.
Освен това нека не забравяме и посещенията при зъболекаря поне два пъти годишно за редовно почистване на зъбите. Така ще можем да получим навременно лечение за всички проблеми, открити от денталния лекар, и ще си помогнем за предотвратяване на бъдещи заболявания на зъбите ни.
- 10 важни факти за жените и тяхното здраве
- Ин-витро оплождане – кога е най-ефективно?
- Как се образува паметта?
- 15 важни съвети за бременни жени
- Изкуствен Интелект помага за лечение на мозъчни тумори
Автор: Александър Манчев




