Епидурален хематом е сериозна диагноза, която изисква временно лечение и адекватно поведение както от страна на лекаря, така и на пациента.
Дефинираме този тип хематоми като колекция от кръв, разположена между вътрешната повърхност на черепните кости и твърдата мозъчна обвивка.
Съществуват редица причини за появата на епидурален хематом .
Такива най-често са:
- Травма от тъп удар по главата – при нападение или падане, при битов инцидент и т.н.;
- Автомобилни катастрофи и инциденти с мотоциклети;
Патогенезата на епидурален хематом винаги е следствие от резултат, от травма, предизвикана от две основни групи сили.
- Първият тип сили действат на мястото на удара и предизвикват изменения на черепа, и на повърхностните мозъчни
отдели под мястото на травмата, т.нар. контактен феномен; - Втората група са сили на линейно и ротационно ускорение;
Епидурален хематом, наречен още и екстрадурален.
Най-често се наблюдава при фрактури на костите на черепа, като резултат от удар по главата, дошъл странично по посока на темпоралната кост, тази която се намира в слепоочните области, с разкъсване на клоновете на средната менингеална артерия, която е разположена между твърдата мозъчна обвивка и вътрешна повърхност на черепните кости.
От значение за тази локализация не е само връзката между костта и артерията, но и фактът, че темпоралната кост е по-тънка от останалите черепни кости. Кръвта е артериална, а това означава, че тя по законите на физиологията ще изтича под налягане.
След това тя се излива в епидурното пространство и най-вече в темпоралната област, в 70% от случаите, където епидурното пространство е най-широко. Останалите по-редки локализации в челно-слепоочните и горно-слепоочните области, като между 5-15% от тях са разположени в задната черепна ямка.
Под натиска на пулсовата вълна и собствената си тежест кръвта бързо отделя твърдата мозъчна обвивка от годишната кост. Епидурален хематом започва да расте постепенно. Впоследствие той може като полушапка да покрие и притисне почти цялото покритие на мозъчната хемисфера. Така се упражнява компресия и върху съседната хемисфера. Бързо се развива мозъчен оток с мозъчни вклинявания, пълна кома и скоро след това болният умира.
В значително по-редки случаи, около 10% по статистика, епидурален хематом може да се получи и от венозната кръвоносна система, чрез венозните синуси. Епидуралните хематоми понякога се намират на една и съща страна в мозъка – тази, която е резултат от удара, но в много редки ситуации патологията може да се наблюдава двустранно.
Развитието на симптоматиката на епидурален хематом преминава през няколко фази:
- Остра травма в безсъзнателно състояние – това е първото изява, с което пациентите са представени в спешното отделение;
- Светъл период от няколко часа – веднъж дошли в съзнанието, пострадалите се
чувстват лъжливо добре за кратък период от време; - Скоро след това те започват да съобщават за повторно развитие на общомозъчна и огнителна неврологична симптоматика;
- Обикновено след около 5-6 часа по-късно болният отново изпада в тежка кома и при несвоевременно лечение настъпва летален изход;

Когато компресията на мозъчната хемисфера е значителна, се развива пареза на противоположната част на тялото, евентуално намаляване на чувствителността, а също и афазия при засягане на доминантната хемисфера. От страна на хематома се появява разширена и нереагираща на светлинно дразнене зеница, понеже са компресирани повърхностно разположени парасимпатикови влакна на околоочния нерв.
Ако хематомът продължава да нараства и да натиска противоположната мозъчна хемисфера в черепната стена, скоро се установява и намалява двигателната активност и в тази страна на епидурален хематом.
Други придружаващи симптоми на епидурален хематом са:
- Главоболие;
- Гадене или възстановяване;
- Припадъци и гърчове;
- брадикардия с или без хипертония;
- Промяна в резултата на съзнанието – влошават се резултатите от кома скалата на Глазгоу;
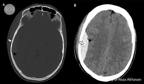
Диагнозата на епидурален хематом се потвърждава от невроизобразяващите методи на основно изследване – компютърната томография, наричана за кратко -КТ. По характера на плътността се получава и информация за давността на хематома. Острите хематоми са по-тъмни, поради плътността на кръвните съсиреци, докато хроничните се виждат бледи, тъй като кръвта при тях е втечена и лизирана кръв. Но не е изключено те да бъдат и със
смесена или дори с нормална плътност, еднаква на мозъчната, при което да се налага изследването да се извърши и с венозно приложение на контрастна материя.
Практическо приложение намират и други диагностични методи.
- Електроенцефалография;
- Мозъчна сцинтиграфия;
- ЯМР;
- Позитронно-емисионнатомография;
При невъзможност да се приложат тези диагностични методи се прибягва до извършването на диагностично трепанационно отвърстие, а при кърмачетата – пункция през фонтанелата.
Лечението на клинично изявен и диагностициран травматичен епидурален хематом е само оперативно.
Независимо от единичните наблюдения за спонтанно излекувани болни. Оперативното лечение се състои в широка трепанация в слепоочието на темпоралната кост с почистване на кръвоизлива и хемостаза.
Автор: Александър Манчев
Ние от Online Medicine сме тук, за да ви помогнем. Ако имате нужда от консултация с лекар , моля, свържете се с нас чрез секцията за консултация.




